Logo
г. Краснодар, ул. Индустриальная, д. 119
+7 (861)945-93-93
+7 (903)412-93-93
Ежедневно с 9:00 до 21:00
  • Главная
  • О клинике
  • Услуги
    • Консультация и диагностика
    • Профилактика
    • Терапия
    • Хирургия и имплантация
    • Гнатология
    • Ортопедия
    • Ортодонтия
    • Детская стоматология
    • Детская ортодонтия
  • Прайс
  • Акции
  • Наша команда
  • Отзывы
  • Контакты
Бончев Валерий Геннадьевич
Стоматолог-ортопед
Стаж работы: более 7 лет
Профессиональные навыки
  • Диагностика кт с ии Diagnocat
  • Протезирование в наркозе
  • Протезирование съемными протезами при частичном или полном отсутствии зубов
  • Протезирование на имплантах одиночные коронки и мостовидные протезы
  • Протезирование полными несъемными протезами all in 4, all in 6, all in 8
  • Цифровая диагностика и протезирование с использование сканера
  • Протезирование на зубах коронками безметалловыми, одиночными и мостовидными конструкциями
  • Эстетическая реконструкция с использованием винир и коронок керамических (E-max)
  • Комбинированное протезирование полости рта на зубах и имплантах
  • Тотальное протезирование с восстановлением эстетики и функции
  • Дентальная фотография
Образование
  • 2019 г. окончил ФГБОУВО "Тюменский государственный медицинский университет" Министерства здравоохранения Российской Федерации, г. Тюмень, специальность "Врач-стоматолог".
  • 2023 г. ГБОУ ВПО "Кубанский государственный медицинский университет" Министерства здравоохранения и социального развития Российской Федерации, г. Краснодар, ординатура "Врач стоматолог ортопед".
Дипломы и сертификаты
Индустрия Улыбок
Индустрия Улыбок
Работы доктора
До/После
Протезирование на имплантах передних зубов
Протезирование на имплантах передних зубов
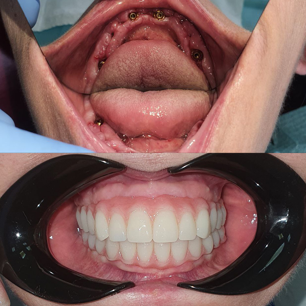
Имплантация и протезирование беззубой челюсти
Имплантация и протезирование беззубой челюсти
Имплантация и протезирование беззубой челюсти
Имплантация и протезирование беззубой челюсти
Протезирование на имплантах
Протезирование на имплантах
Установка керамических коронок
Установка керамических коронок
Тотальная работа на верхней и нижней челюстях
Тотальная работа на верхней и нижней челюстях
Приглашаем Вас в нашу клинику для знакомства.
Мы уверены, что время, проведенное у нас полностью изменит Ваше представление о стоматологии в целом. Во время Вашего визита наши доктора проведут консультацию, осмотр и ответят на все Ваши вопросы о зубах. 

Наши контакты
Индустрия Улыбок
Стоматологический центр

г. Краснодар, ул. Индустриальная, д. 119
+7 (861) 945-93-93
+7 (903) 412-93-93
industriya.ulybok@gmail.com
Logo
Меню
Главная
О клинике
Услуги
Прайс
Наша команда
Контакты
Спецпредложения
Услуги
Консультация и диагностика
Профилактика 
Терапия
Хирургия и имплантация
Ортопедия
Ортодонтия
Детская стоматология
Детская ортодонтия
Полезная информация
Лицензия
Политика конфиденциальности
Пользовательское соглашение
Согласие посетителя сайта на обработку персональных данных
Документы
ИМЕЮТСЯ ПРОТИВОПОКАЗАНИЯ. ОБРАТИТЕСЬ К СПЕЦИАЛИСТУ
© 2026  Все права защищены
Спасибо за заказ
Ваш заказ принят в обработку. 
Мы свяжемся с вами в ближайшее время
Оформить заявку
Политика конфиденциальности
Соблюдение Вашей конфиденциальности важно для нас. По этой причине, мы разработали Политику Конфиденциальности, которая описывает, как мы используем и храним Вашу информацию. Пожалуйста, ознакомьтесь с нашими правилами соблюдения конфиденциальности и сообщите нам, если у вас возникнут какие-либо вопросы. 
Сбор и использование персональной информации 
Под персональной информацией понимаются данные, которые могут быть использованы для идентификации определенного лица либо связи с ним. 
От вас может быть запрошено предоставление вашей персональной информации в любой момент, когда вы связываетесь с нами. 
Ниже приведены некоторые примеры типов персональной информации, которую мы можем собирать, и как мы можем использовать такую информацию. 
Какую персональную информацию мы собираем: 
Когда вы оставляете заявку на сайте, мы можем собирать различную информацию, включая ваши имя, номер телефона, адрес электронной почты и т.д. 
Как мы используем вашу персональную информацию: 
Собираемая нами персональная информация позволяет нам связываться с вами и сообщать об уникальных предложениях, акциях и других мероприятиях и ближайших событиях. 
Время от времени, мы можем использовать вашу персональную информацию для отправки важных уведомлений и сообщений. 
Мы также можем использовать персональную информацию для внутренних целей, таких как проведения аудита, анализа данных и различных исследований в целях улучшения услуг предоставляемых нами и предоставления Вам рекомендаций относительно наших услуг. 
Если вы принимаете участие в розыгрыше призов, конкурсе или сходном стимулирующем мероприятии, мы можем использовать предоставляемую вами информацию для управления такими программами. 
Раскрытие информации третьим лицам 
Мы не раскрываем полученную от Вас информацию третьим лицам. 
Исключения: 
В случае если необходимо — в соответствии с законом, судебным порядком, в судебном разбирательстве, и/или на основании публичных запросов или запросов от государственных органов на территории РФ — раскрыть вашу персональную информацию. Мы также можем раскрывать информацию о вас если мы определим, что такое раскрытие необходимо или уместно в целях безопасности, поддержания правопорядка, или иных общественно важных случаях. 
В случае реорганизации, слияния или продажи мы можем передать собираемую нами персональную информацию соответствующему третьему лицу – правопреемнику. 
Защита персональной информации 
Мы предпринимаем меры предосторожности — включая административные, технические и физические — для защиты вашей персональной информации от утраты, кражи, и недобросовестного использования, а также от несанкционированного доступа, раскрытия, изменения и уничтожения. 
Соблюдение вашей конфиденциальности на уровне компании 
Для того чтобы убедиться, что ваша персональная информация находится в безопасности, мы доводим нормы соблюдения конфиденциальности и безопасности до наших сотрудников, и строго следим за исполнением мер соблюдения конфиденциальности.


Записаться на консультацию
Например, с 9:00-11:00
Записаться на консультацию
Например, с 9:00-11:00
Оформить заявку