Logo
г. Краснодар, ул. Индустриальная, д. 119
+7 (861)945-93-93
+7 (903)412-93-93
Ежедневно с 9:00 до 21:00
  • Главная
  • О клинике
  • Услуги
    • Консультация и диагностика
    • Профилактика
    • Терапия
    • Хирургия и имплантация
    • Гнатология
    • Ортопедия
    • Ортодонтия
    • Детская стоматология
    • Детская ортодонтия
  • Прайс
  • Акции
  • Наша команда
  • Отзывы
  • Контакты
Черепанова Елизавета Вадимовна
Стоматолог - терапевт, хирург, имплантолог
Стаж работы: более 4 лет
Профессиональные навыки
  • Диагностика с искусственным интеллектом Diagnocat
  • Лечение в наркозе и седации
  • Одиночная имплантация
  • Одномоментная и отсроченная имплантация
  • Костная пластика на верхней (синус-лифтинг) и нижней челюсти
  • Удаление сложных зубов 
  • Удаление простых зубов 
  • Удаление ретинированных зубов мудрости
  • Эстетическая реставрация передних зубов 
  • Лечение кариеса, реставрация передней и задней группы зубов
  • Лечение пульпита и периодонтита
  • Дентальная фотография
Образование
  •  2024 г. окончила ГБОУ ВПО "Кубанский государственный медицинский университет" Министерства здравоохранения Российской Федерации, г. Краснодар. Квалификация - врач-стоматолог, специальность - "Стоматология".
Дополнительное образование
  • 2023 г. курс "Неотложные состояния в практике врача-стоматолога", г. Краснодар.
  • 2023 г. курс "Лечение пульпитов молочных зубов без осложнений", Magickids, г. Краснодар.
  • 2024 г. курс "Художественная реставрация фронтальной группы зубов БАЗОВАЯ", Учебный центр "Эстет", г. Краснодар.
  • 2024 г. мастер-класс "Прямая реставрация", Учебный центр "Эстет", г. Краснодар.
  • 2024 г. "Рецессии, До или после ортодонтии, Хирургические аспекты картикальной опоры", Практик-центр Россдент, г. Краснодар.
  • 2025 г. Устранение рецессии десны разными методиками.
  • 2025 г. Новые возможности с навигационной системой ANTOGYR INTEGRAL , город Ростов-на Дону.
  • 2025 г. Эндо-реставрационный конгресс, г. Шерегеш.
  • 2025 г. Протезирование на имплантатах. Навигационная хирургия как путь от ортопедии к хирургии, г. Краснодар.
  • 2025 г. Оказание первой медицинской помощи в стоматологическом кресле. Vesta.
  • 2025 г. Корень. Коронка. Ткань. Концепция спасения безнадежных зубов.
  • 2025 г. Функциональность и эстетика: баланс при реставрации жевательной группы зубов.
Дипломы и сертификаты
Индустрия Улыбок
Индустрия Улыбок
Индустрия Улыбок
Индустрия Улыбок
Индустрия Улыбок
Индустрия Улыбок
Индустрия Улыбок
Индустрия Улыбок
Индустрия Улыбок
Индустрия Улыбок
Индустрия Улыбок
Индустрия Улыбок
Индустрия Улыбок
Индустрия Улыбок
Индустрия Улыбок
Индустрия Улыбок
Индустрия Улыбок
Индустрия Улыбок
Индустрия Улыбок
Индустрия Улыбок
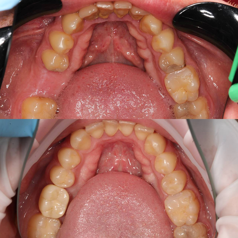
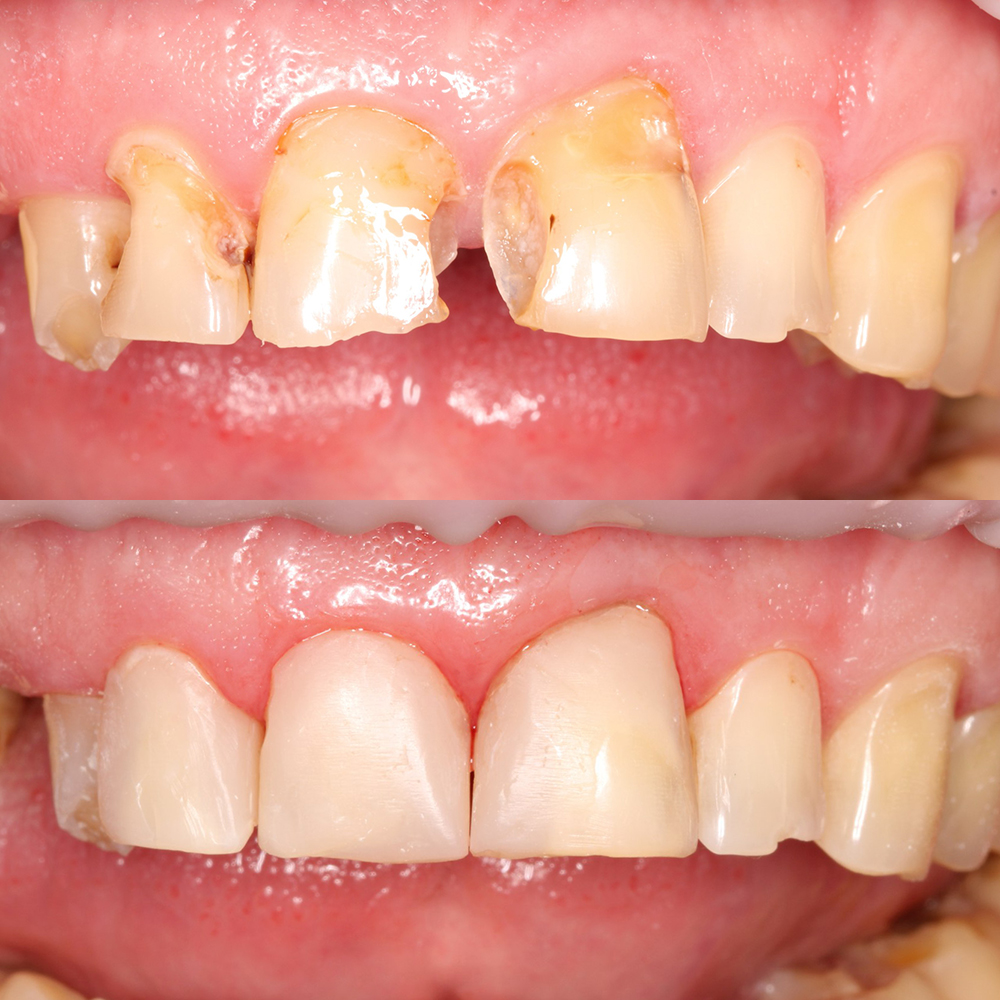
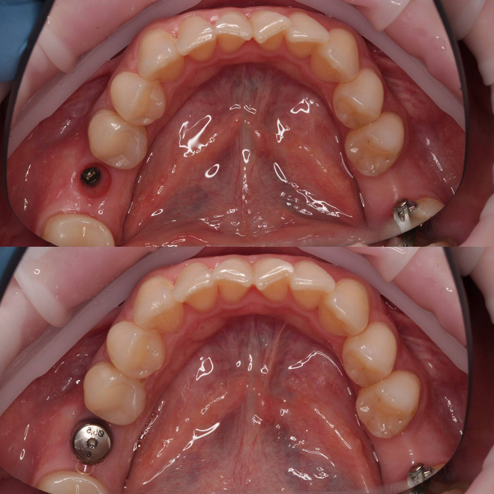
Работы доктора
До/После
До/После
До/После
До/После
До/После
До/После
До/После
До/После
До/После
До/После
До/После
До/После
До/После
До/После
До/После
До/После
До/После
До/После
До/После
До/После
До/После
Одиночная имплантация
Одиночная имплантация
Одиночная имплантация
Одиночная имплантация
Приглашаем Вас в нашу клинику для знакомства.
Мы уверены, что время, проведенное у нас полностью изменит Ваше представление о стоматологии в целом. Во время Вашего визита наши доктора проведут консультацию, осмотр и ответят на все Ваши вопросы о зубах. 

Наши контакты
Индустрия Улыбок
Стоматологический центр

г. Краснодар, ул. Индустриальная, д. 119
+7 (861) 945-93-93
+7 (903) 412-93-93
industriya.ulybok@gmail.com
Logo
Меню
Главная
О клинике
Услуги
Прайс
Наша команда
Контакты
Спецпредложения
Услуги
Консультация и диагностика
Профилактика 
Терапия
Хирургия и имплантация
Ортопедия
Ортодонтия
Детская стоматология
Детская ортодонтия
Полезная информация
Лицензия
Политика конфиденциальности
Пользовательское соглашение
Согласие посетителя сайта на обработку персональных данных
Документы
ИМЕЮТСЯ ПРОТИВОПОКАЗАНИЯ. ОБРАТИТЕСЬ К СПЕЦИАЛИСТУ
© 2026  Все права защищены
Спасибо за заказ
Ваш заказ принят в обработку. 
Мы свяжемся с вами в ближайшее время
Оформить заявку
Политика конфиденциальности
Соблюдение Вашей конфиденциальности важно для нас. По этой причине, мы разработали Политику Конфиденциальности, которая описывает, как мы используем и храним Вашу информацию. Пожалуйста, ознакомьтесь с нашими правилами соблюдения конфиденциальности и сообщите нам, если у вас возникнут какие-либо вопросы. 
Сбор и использование персональной информации 
Под персональной информацией понимаются данные, которые могут быть использованы для идентификации определенного лица либо связи с ним. 
От вас может быть запрошено предоставление вашей персональной информации в любой момент, когда вы связываетесь с нами. 
Ниже приведены некоторые примеры типов персональной информации, которую мы можем собирать, и как мы можем использовать такую информацию. 
Какую персональную информацию мы собираем: 
Когда вы оставляете заявку на сайте, мы можем собирать различную информацию, включая ваши имя, номер телефона, адрес электронной почты и т.д. 
Как мы используем вашу персональную информацию: 
Собираемая нами персональная информация позволяет нам связываться с вами и сообщать об уникальных предложениях, акциях и других мероприятиях и ближайших событиях. 
Время от времени, мы можем использовать вашу персональную информацию для отправки важных уведомлений и сообщений. 
Мы также можем использовать персональную информацию для внутренних целей, таких как проведения аудита, анализа данных и различных исследований в целях улучшения услуг предоставляемых нами и предоставления Вам рекомендаций относительно наших услуг. 
Если вы принимаете участие в розыгрыше призов, конкурсе или сходном стимулирующем мероприятии, мы можем использовать предоставляемую вами информацию для управления такими программами. 
Раскрытие информации третьим лицам 
Мы не раскрываем полученную от Вас информацию третьим лицам. 
Исключения: 
В случае если необходимо — в соответствии с законом, судебным порядком, в судебном разбирательстве, и/или на основании публичных запросов или запросов от государственных органов на территории РФ — раскрыть вашу персональную информацию. Мы также можем раскрывать информацию о вас если мы определим, что такое раскрытие необходимо или уместно в целях безопасности, поддержания правопорядка, или иных общественно важных случаях. 
В случае реорганизации, слияния или продажи мы можем передать собираемую нами персональную информацию соответствующему третьему лицу – правопреемнику. 
Защита персональной информации 
Мы предпринимаем меры предосторожности — включая административные, технические и физические — для защиты вашей персональной информации от утраты, кражи, и недобросовестного использования, а также от несанкционированного доступа, раскрытия, изменения и уничтожения. 
Соблюдение вашей конфиденциальности на уровне компании 
Для того чтобы убедиться, что ваша персональная информация находится в безопасности, мы доводим нормы соблюдения конфиденциальности и безопасности до наших сотрудников, и строго следим за исполнением мер соблюдения конфиденциальности.


Записаться на консультацию
Например, с 9:00-11:00
Записаться на консультацию
Например, с 9:00-11:00
Оформить заявку